• +91 9979976862 / 9152215415
  • stemrxdental@gmail.com
Gum Surgery

Gum Surgery

Gum surgery is an essential periodontal treatment for addressing advanced gum disease, reshaping gums, and restoring oral health. Our clinic offers both modern and traditional approaches to gum surgery, tailored to the needs of each patient.

Laser Gum Surgery

Laser gum surgery is a minimally invasive procedure that uses advanced laser technology to treat gum disease and reshape gum tissue. This cutting-edge method ensures precision, faster recovery, and enhanced comfort for patients.

Laser Gum Surgery
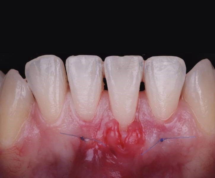
Traditional Gum Surgery

Traditional Gum Surgery

Traditional gum surgery is a time-tested approach used to treat more severe cases of gum disease or structural issues. It involves carefully removing diseased tissue and reshaping the gums for optimal oral health.

whatsapp